骨科康复案例——什么情况下桡骨骨折需要手术?
发布时间 2021-06-07
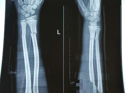
患者:孙先生
年龄:55岁
诊断病情:上桡骨骨折
主诉:手腕疼痛肿胀,关节活动困难
孙先生一天前由于不慎跌倒时手掌着地,当即感到手腕疼痛,几小时后出现局部肿胀、疼痛,手腕关节活动受限,遂来我院检查,发现关节有明显错位,诊断为上桡骨骨折。

与孙先生详细沟通后,建议行手术切开复位并固定,孙先生表示认同,并入住我院准备手术。


术后孙先生手腕疼痛感明显减轻,肿胀等症状消失。


桡骨骨折有哪些原因?
1、暴力性骨折
桡骨骨折大多数是由于外伤所致,主要是由于直接暴力或间接暴力作用于桡骨处所造成的损伤。直接暴力主要是直接对桡骨进行打击或机器对桡骨造成的损伤,其骨折多为横型或粉碎型,骨折线多在同一平面。间接暴力则是由于跌倒时手掌或手背着地,暴力向上作用于桡骨,使桡骨发生骨折,其骨折多是横型或锯齿型。
2、病理性骨折
对于某些存在基础性疾病的患者,如患有骨肿瘤、骨囊肿及骨质疏松等疾病,当桡骨受到轻微的外力作用时就会极易发生骨折。因此,对于有基础性疾病的患者在日常生活中一定要注意预防骨折的发生,及时治疗基础性疾病。
3、其他因素
对于12岁以下的儿童,其受到外力作用时骨头会发生弯曲变形,在骨头超过其弯曲极限时就会发生青枝骨折。在运动时采取的运动方式不恰当,或运动姿势不正确,也会发生桡骨骨折的情况。对于年龄较小,身体发育不完善的儿童,过度拉扯,也会出现桡骨骨折。
对于发生桡骨骨折的患者要及时判断其发生原因,并针对其具体原因及时采取治疗措施,减轻桡骨骨折对患者工作生活的影响,及时恢复患者的手腕部功能。同时,在日常生活中也要尽量避免发生桡骨骨折,注意走路不要玩手机,预防老年人骨质疏松等。


